
Bellingara Fleurina by Ferro / Biathlon (imp)

De Niro (Donnherhall / Akzent II)

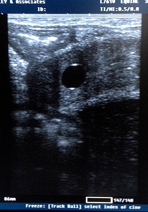
16 day old conceptus - Bellingara Fleurina x De Niro
Frozen Semen Pregnancy Success!
Exciting news!! After a long break from breeding our Warmblood mares,
we are finally back! Our lovely young chestnut mare, Blue Pines Junee
(Jive Magic/Regardez Moi) has been inseminated with frozen semen from
the German PSI stallion, Fürst Romancier. She had a positive
pregnancy scan at 14 days and we are delighted!


Blue Pines Junee
Jive Magic (imp) / Regardez Moi (imp)

German PSI stallion, Fürst Romancier
Horse Sales
Our beautiful Warmblood gelding by Royal Hit (imp) has been sold to a
dressage rider in Victoria, who saw him on the website and fell in love.
Her current horse being very similar in type, and also related to the
stallion Ilkay (imp). He has grown into a very tall and beautiful youngster,
with a soft and willing to please nature. He will certainly be missed
here at Bellingara Stud, but will no doubt bring his new owner a great
deal of pleasure and success.


After some recent cleaning up at home, we unearthed some
old photos of our Warmblood mares, including a lovely head shot of Argentille
Ivanka (dam of the Royal Hit gelding above) competing at Sydney Royal
in her younger days. (Photo: Roger Fitzhardinge)
Bellingara Stud Warmbloods on Facebook!
We are excited to announce Bellingara Stud - Dressage
Warmbloods is now on Facebook. Please come and have a look at
our Facebook page and click "Like" to follow all our latest
updates and news on the Warmbloods at Bellingara Stud.
|